医疗电子胶片应用范围 数字化时代,去医院拍片为啥还要买胶片?

小编头像

小编

管理员

发布于:2025年05月04日

109 阅读 · 0 评论

数字化时代,去医院拍片为啥还要买胶片?

□ 郝雪梅(江苏 教师)

今年3月15日,根据市民爆料,记者聚焦了去医院做影像检查必须买胶片的现象,引起了社会各界的广泛关注。然而半年过去了,医疗胶片电子化进展甚微。(10月11日《宁波晚报》)

尽管“医疗胶片电子化”的呼声很高,但是依然难以禁绝,很多医院依然沿用这种传统的模式,有悖于信息化的潮流。

在以往医疗设备联网未普及的时代,“医疗胶片”曾经发挥着重要的作用,对于确诊和治疗来说,是必不可少的环节。但是,随着科技的发展和进步,“医疗胶片”也成为了鸡肋。现在医院的电脑都是互联的,医院的设备都是贯通的,查看检查的结果,其实很简单,只要医生打开电脑就能轻轻松松查看了。疾病的确诊不会受到丝毫影响,反倒变得更加精准了。

在当今时代,还固守着“医疗胶片”,有害而无利。一方面,浪费了患者宝贵的时间,“领取医疗胶片”需要患者排队等候,有的时候还会排起长长的队伍。甚至当患者把“医疗胶片”领到手了,而医生却下班了。另一个方面,造成了资源的浪费,还增加了患者的医疗负担。据统计,经过“医疗胶片电子化”,绍兴市人民医院一年就能省下约800万元。试想一下,如果在全国推行,将会节约一笔巨大的费用。

取消“医疗胶片”也是医院发展的必然趋势。目前国内也有很多城市的医院取消了“医疗胶片”。患者在做X光、CT、磁共振等影像检查时,收到的不再是传统的“胶片袋+医用胶片”,而是可以通过手机读取报告。那些仍然故步自封的医院,将被“用脚投票”的患者弃如敝履。

在信息化时代,“医疗胶片”也该全身而退了。应把“医疗胶片”丢进历史垃圾筐,既能节约资源还能减轻患者负担,何乐不为?最起码,应该把要不要领取“医疗胶片”的选择权和决定权交给患者。

【编辑 李露】

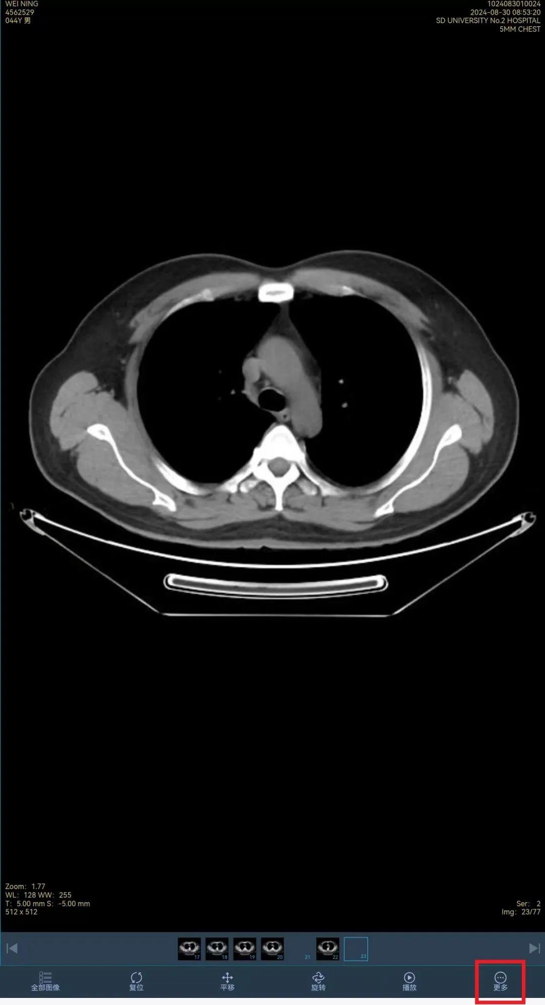
山大二院“云胶片”上线啦!就诊便捷、诊断精准、存储无忧!

想在“网上”查看自己影像报告吗?

想无损伤传输分享自己影像图片吗?

线上操作,帮您就医更便捷!

“云胶片”是一种数字化的医学影像,通过将医学影像系统生成的无损DICOM图像上传至云端进行存储和管理。近年来,山东大学第二医院积极响应《山东省推进 “互联网 + 医疗健康” 示范省建设行动计划》,优化医疗服务流程,上线基于省全民健康信息平台的医疗机构数字影像的“云胶片”服务,通过云端平台即可访问和查看自己的影像数据,同时可分享给医生进行查阅,使就医过程更加便捷。

具体操作步骤:

2.点击“就诊服务”

3.添加就诊人信息后,点击“影像报告”

4.选择就诊人,点击“查找”

5.点击“查看影像”及“报告”

6.选择要查看的报告

7.点击右下角“更多”

8.选择“分享时效”

9.点击“复制链接”,将链接粘贴分享给他人

(大众新闻记者 黄鑫)

相关问答

医疗胶片 一般有哪些分类?

[回答]胶片的冷藏:经冷藏的胶片,要在使用前24—36小时取出,在室温下得到平衡。否则,将出现感光怠迟。特别不要在冷藏库内启封。有效期限:胶片外包装均注...

医学影像 胶片 能保存多少年?

胶卷又名底片,菲林,是一种成像器材。现今广泛应用的胶卷是将卤化银涂抹在聚乙酸酯片基上,此种底片为软性,卷成整卷方便使用。当有光线照射到卤化银上时,卤...

电子胶片 有哪些?拜托了帮个忙

[回答]电子胶片经过老化试验测试,在常温条件下可以保存20年,有利于诊断报告的保存。保存完好的超声诊断报告可以更好的提供复诊、会诊,更好的作为医学巡查...

医院发来 电子胶片 ,转发给其他人能看到吗?

医院发的电子胶片就是机器检测的原始底片可以转给其他人,原始版电子胶片发送到打印机才出来真胶片的,所以电子胶片是最真实的照片要比打印出来的照片还要清晰,...

帮个忙,超声 胶片 的优点?

[回答]超声胶片正面涂布感光乳剂,背面涂布防光晕层。本胶片层次丰富、清晰度好。胶片适用于不同医疗影像。如:断层图、数字减影、超声成像等。本胶片可应...

谁能回答! 电子胶片 怎么使用?拜托了帮个忙

[回答]电子胶片胶片采用纳米级的吸墨涂层、防水涂层和三色梯度黑这一技术,对特殊纸张进行再加工,使其成为医学影像的打印介质,具有防水、不怕光、不怕热的...

dr医学影像全称?

在计算机控制下直接进行数字化X线摄影的一种新技术,即采非晶硅平板探测器把穿透人体的X线信息转化为数字信号,并由计算机重建图像及进行一系列的图像后处理。...

医学影像技术到底是干什么的?

常见的医学影像技术有:CT、B超、X光片、核磁共振、心血管造影、多普勒彩超等。本专业学生毕业后可在医疗卫生单位从事医学影像诊断、介入放射学和医学成像技术...

医疗胶片 一张多少钱?

[回答]批发的价格,这个没有还是建议你多问问厂家,现在胶片厂家也怪多,你可以多问几个厂家,然后对比对比应原包装储存于干燥、凉爽、无尘室内,�防止太阳...

谁能帮助我!替用 胶片 是什么材质?帮忙解答一下

[回答]替用胶片检查打印机是否处于联机状态。在大多数打印机上“OnLine”按钮旁边都有一个指示联机状态的灯,正常情况下该联机灯应处于常亮状态。如果该指...

标签:

相关阅读