电子输尿管肾盂镜临床应用 北方腾达科技“一次性使用电子输尿管肾盂内窥镜导管”获批上市

小编头像

小编

管理员

发布于:2025年05月05日

98 阅读 · 0 评论

北方腾达科技“一次性使用电子输尿管肾盂内窥镜导管”获批上市

新京报讯(记者 王卡拉)3月17日,国家药监局发布的信息显示,北京北方腾达科技发展有限公司(简称“北方腾达科技”)生产的创新产品“一次性使用电子输尿管肾盂内窥镜导管”获批上市。

该产品由头端部、弯曲部、插入部、操作部、工作通道和连接部组成,在医疗机构中使用,与图像处理装置配合,用于人体尿道、膀胱、输尿管肾盂的观察成像。头端部塑料光纤传导光源,镜头模组捕捉光信号,CMOS(互补金属氧化物半导体)模组将光信号转化成电信号,传输至图像处理装置。通过采用新材料和新技术可降低成本,达到和传统内窥镜相似的产品性能。

对于采用一次性使用方式,北方腾达科技称,一方面可降低因重复使用导致的交叉感染等风险,另一方面也能减少清洗消毒灭菌等重复使用过程,同时避免因产品老化性能下降而带来的观察效果不佳。国家药监局表示,药品监督管理部门将加强该产品上市后监管,保护患者用械安全。

国家药监局数据库显示,除北方腾达科技外,还有瑞派医疗器械、安清医疗器械和普生医疗科技三家公司的一次性使用电子输尿管肾盂内窥镜导管获批。

校对 柳宝庆

泌尿外科来了新朋友——输尿管软镜技术

来源:六医泌尿外科

江陵县人民医院开展输尿管软镜已经有了2年的经历,引进了目前最先进的STOZE电子软镜,在完成的200多例手术患者中,患者反映均比较满意,弥补了一部分输尿管上段结石及肾结石无法处理的空白。

人体的输尿管长度约为25cm左右,从肾脏沿腹腔后壁迂曲延伸到膀胱,其直径通常只有3-4mm,输尿管软镜的出现为上尿路疾病的诊断与治疗提供了新的途径 。输尿管软镜直径为2-3mm,镜体相对柔软,镜体前端进入肾脏后可拐弯,拐弯角度可达180度到270度,轻松到达肾盂及每一个肾盏,完全利用人体自然腔道,更加微创。目前输尿管软镜最多用于上尿路结石的治疗。输尿管软镜碎石具有损伤小、痛苦轻、恢复快等优点。

哪些患者适合行输尿管软镜治疗?

目前主要适应症包括:直径<2 cm的肾脏结石、输尿管上段结石、经皮肾镜碎石术后残石、极度肥胖或严重脊柱畸形患者上尿路结石。此外,输尿管软镜对于治疗孤立肾、马蹄肾及有出血倾向的病人也有独特的优势。

输尿管硬镜与软镜的区别:

输尿管硬镜碎石术 可以作为处理输尿管中下段结石的首选。但因镜子本身是直的,在肾内无法拐弯,基本无法处理到肾内结石,且在处理一些输尿管上段结石时,可能术中发生结石上移到肾内的情况,无法完成碎石,病人需要进一步做体外震波碎石加重肾脏损伤。

随着广大群众健康意识的增强,越来越小的结石被体检发现,而输尿管软镜碎石术必将成为尿路结石微创治疗上的“利器”,减轻结石患者近期和远期损伤。我院泌尿外科目前已采用软镜完成肾脏结石、输尿管上段结石及经皮肾镜术后残石并积累了大量经验,软镜操作技术成熟,临床疗效满意;

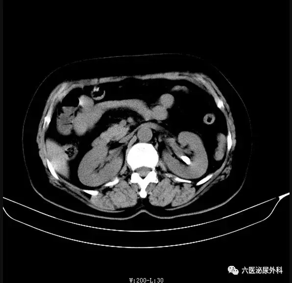
可以看到该患者有三颗结石,一颗位于肾盂输尿管出口处,一颗位于肾中盏,还有一颗位于囊肿内(暂不考虑这颗)

我们看看术后效果

效果基本不错,有极少数残余结石,通过后期活动排石,有可能结石会全部排出体外;术后3-4天出院,极大的解决住院时间长,并术中基本没有创伤;有点很突出;我们再看看今天一例男性患者

通过上图,我们看到了,输尿管软镜技术,很好的解决了以前因为结石小,位置高而不敢做的难题,我院已开展200余例,取得了很好的进展;残石率低于上级医院,我们的宗旨为了患者的一切,全心全意为江陵人民服务,要求尽一切可能减少患者的痛苦及再做手术的可能;

#健康科普排位赛##科普一下#

相关问答

肾盂肾炎 应该检查哪些?

[回答]肾盂肾炎应做的检查包括:尿常规检查是最简便而可靠的检测泌尿道感染的方法。宜留清晨第一次尿液待测,凡每个高倍视野下超过5个(>5个/HP)白细胞称为...

两侧 肾盂 输尿管 轻度扩张积水,如果插支架的话取出来_千问健康

两侧肾盂及输尿管轻度扩张积水,如果插支架的话取出来后还会积水吗?两年前发现肾积水,做肾盂造影后的结果是左肾肾盂扩张及上段输尿管轻度积水,两年后做CTU结果是...

肾盂输尿管 造影-99健康问问

[回答]1.常规静脉肾盂造影观察不满意者2.不适合作静脉肾盂造影检查者如心肝肾功能异常及碘过敏者3.为了详细观察尿路的解剖形态4.确定血尿病人尿路内有...

膀胱镜活检_千问健康

请问做膀胱镜活检需要多长时间呀做了以后需要注意些什么嘛谢谢

肾盂 结石_千问健康

肾结石~~可以喝酒吗?可以不、可以不

膀胱镜检查的适应症?

膀胱镜检查的适应症膀胱镜检查是指将膀胱镜经尿道插入膀胱以直接观察膀胱和尿道内病变的检查方法。也可以向输尿管口插入输尿管分别收集双侧肾盂尿和进行逆行...

输尿管肾盂 成形术-99健康问问

[回答]这样的情况一般是不会有太大的影响的一般这样的情况可能是由于您长时间的活动引起的,您多注意休息就可以的以上是对“输尿管肾盂成形术”这个问题的...

做膀胱镜是一种怎样的体验?

首先是应该明白为什么要做膀胱镜?膀胱镜是检查泌尿系统疾病的一种器械,做诊断用时通过检查窥镜可以观察到膀胱内情况;通过输尿管插管窥镜,可向输尿管插入细长...

肾盂肾炎 有什么症状,是否需要尿常规中有蛋白,白细胞管型

[回答]有诱发因素者应治疗,如肾结石、输尿管畸形等。抗感染治疗最好在尿细菌培养及药物敏感试验下进行。(二)抗感染治疗1.急性肾盂肾炎因引起尿路感染的主...

什么是肾外 肾盂

[回答]情分析:肾结石最容易出现的症状就是肾绞痛肾积水,有的出现泌尿系的感染。意见建议:肾结石如果直径在零点六厘米以下的话,通过服用排石的药物,然...

标签:

相关阅读